PACS系统源码 PACS源码 三维重建PACS源码
基于VC + MSSQL开发的一套三甲医院医学影像PACS系统源码,集成3D影像后处理功能,包括三维多平面重建、三维容积重建、三维表面重建、三维虚拟内窥镜、最大/小密度投影、心脏动脉钙化分析等功能。支持磁盘库、光盘库等多种存储方式,系统采用双机备份、异地备份、防火墙等多种安全体系,确保数据安全可靠。·提供专业丰富的诊断模板,并可以由医生添加、修改、删除,并可设置使用权限,可设置成医生独用或公用;
一、系统概述:
基于VC + MSSQL开发的一套三甲医院医学影像PACS系统源码,集成3D影像后处理功能,包括三维多平面重建、三维容积重建、三维表面重建、三维虚拟内窥镜、最大/小密度投影、心脏动脉钙化分析等功能。系统功能强大,代码完整,有演示,正版授权。
了解源码可私信博主!



二、PACS系统功能特点:
·开放式体系结构,完全符合DICOM3.0标准,提供HL7标准接口,可实现与提供相应标准接口的HIS系统以及其他医学信息系统间的数据通信。
·全面PACS/RIS,实现对不同设备、不同图像信息的处理。
·多种临床工具包,可对图像进行多种增强处理、测量、标注,充分发挥电子胶片的特点。
·支持WORKLIST功能,自动化工作流程。
·有效解决大容量图像存储问题,支持多种存储方式和多种备份方式。
·报告单有多种模式及自定义样式。
·集成三D影像后处理功能。
三、PACS系统系统功能介绍:
(1)申请与预约登记
·支持刷卡从HIS系统获取病人信息功能,支持磁卡、IC卡、条码输入、手工输入。
·支持电子申请单、扫描纸质申请单。
·具有收费管理功能。
·支持打印预约申请单、支持打印条码。
·支持排队分诊。
·支持语音排队叫号。
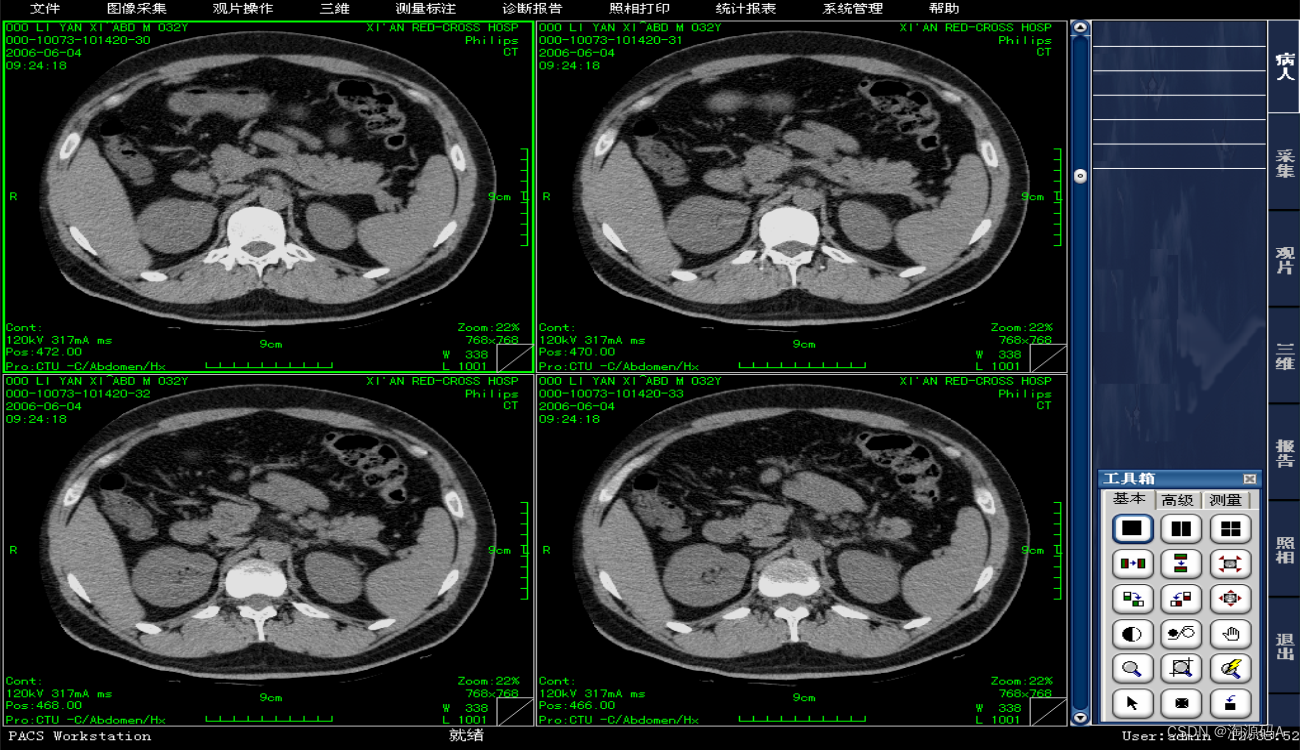
(2)影像采集
·采用多种方式获取影像,支持各种标准及非标准数字或模拟视频接口图像格式。
·标准DICOM影像采集功能
·非标准DICOM影像采集功能
·视频采集功能
·胶片扫描采集功能
(3)影像存储
影像存储前,系统采用先进的图像压缩技术对医学图像进行压缩。支持磁盘库、光盘库等多种存储方式,系统采用双机备份、异地备份、防火墙等多种安全体系,确保数据安全可靠。
(4)影像传输
影像传输技术实现图像信息在采集点、服务器和工作站之间的传输,确保图像传输的快捷与流畅。经过压缩后的影像图片,采用独特的图像传输机制,达到调入图像快速查询的目的。
(5)分析诊断报告
·提供专业丰富的诊断模板,并可以由医生添加、修改、删除,并可设置使用权限,可设置成医生独用或公用;
·支持自定义报告样式,支持图文混排;
·报告支持多级医生审核,支持典型病例管理;
·报告所见即所得,支持报告打印自动缩放。
(6)影像处理
·支持高清竖屏显示;
·窗宽窗位的预设和影像上鼠标拉拖方式连续调整窗口准位;
·提供定位图、定位线浏览模式;
·同屏分格显示病人不同体位、不同设备的影像,供诊断比较;
·影像漫游、无级缩放、局部放大;CT值坐标方式显示;
·提供图像标注,角度、面积等测量,支持骨密度测量;
·提供胶片打印功能,多种影像排列和影像组合方式输出。
(7)统计分析
统计报表集成了多项统计功能,如:病人统计表、医生工作量统计表、仪器信息统计表。
(8)图像后处理与重建
·MPR\CPR(三维多平面重建)
·VRT(三维容积重建)
·SSD(三维表面重建)
·VE(虚拟内窥镜)
·MIP(最大密度投影)、MinIP(最小密度投影)
·CalSCore(心脏图像冠脉钙化积分)


魔乐社区(Modelers.cn) 是一个中立、公益的人工智能社区,提供人工智能工具、模型、数据的托管、展示与应用协同服务,为人工智能开发及爱好者搭建开放的学习交流平台。社区通过理事会方式运作,由全产业链共同建设、共同运营、共同享有,推动国产AI生态繁荣发展。
更多推荐


所有评论(0)